A Farnham teenager has been awarded £11,500 in compensation after years of untreated dental decay left her in severe pain, caused her to miss school and need hospital treatment.

Katie Hunt, 19, a hairdresser from Farnham, received the settlement with support from specialist solicitors the Dental Law Partnership, following dental treatment she received as a child at a dental surgery in Hampshire.
Ms Hunt first complained of pain aged 11. “I started to feel pain when chewing and my gums were sore,” she said. “I was told it was just growing pains and to rinse with salt water.”
Over the next few years, the pain intensified. “By 2019 it was getting worse. I had really bad toothaches that stopped me eating and sleeping properly,” she said. “I kept going back, but I was told the same thing every time – that it was growing pains.”
The ongoing pain affected her education and social life. “I was being sent home from school all the time,” Ms Hunt said. “By Year 10 I was hardly ever in class. I had no friends because I never left the house. I couldn’t sleep, eat or talk properly.”
At the height of her discomfort, Ms Hunt was admitted to hospital after accidentally overdosing on painkillers. “I couldn’t bear the pain anymore,” she said. “I was taking so many paracetamol and ibuprofen that it made me really ill.”
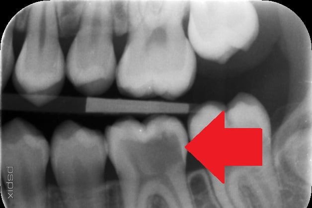
She was later seen by a different dentist, who carried out an X-ray. “That was the first time anyone really listened,” she said. “They told me one tooth was badly decayed and it had spread to two others.” The affected tooth was extracted when she was 15.
An investigation found the decay should have been diagnosed earlier.
“The compensation will help pay for an implant,” Ms Hunt said. “But it can’t give me back the years I lost or the trust I had in dentists.”





Comments
This article has no comments yet. Be the first to leave a comment.